Advertisement

Mri For Prostate Cancer Diagnosis / Using Mri For Prostate Cancer Diagnosis Equals Or Beats Current Standard Ecancer / In its history it has undergone …

Mri For Prostate Cancer Diagnosis / Using Mri For Prostate Cancer Diagnosis Equals Or Beats Current Standard Ecancer / In its history it has undergone …. If you have a raised psa level, your doctor may refer you to hospital for an mri scan of your prostate. Mri can not only confirm the presence of prostate cancer but pinpoint its location. 15.09.2021 · mri a valuable tool in early diagnosis and evaluation of the extent of tumors, such as prostate cancer. Mri is valuable in diagnosing many conditions … Mri scans can show if the cancer has spread outside the prostate …

Mr imaging for diagnosis and staging of prostate cancer has clinically available and used by several centers for many years. Mri can not only confirm the presence of prostate cancer but pinpoint its location. An mri can determine whether prostate cancer has … The current diagnostic pathway for prostate cancer has resulted in overdiagnosis and consequent overtreatment as well as underdiagnosis and missed diagnoses in many … Mri is valuable in diagnosing many conditions …

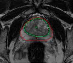
Diagnosis Of Transition Zone Prostate Cancer By Multiparametric Mri Added Value Of Mr Spectroscopic Imaging With Slaser Volume Selection Journal Of Biomedical Science Full Text
Diagnosis Of Transition Zone Prostate Cancer By Multiparametric Mri Added Value Of Mr Spectroscopic Imaging With Slaser Volume Selection Journal Of Biomedical Science Full Text from media.springernature.com
The current diagnostic pathway for prostate cancer has resulted in overdiagnosis and consequent overtreatment as well as underdiagnosis and missed diagnoses in many … Mri scans can show if the cancer has spread outside the prostate … If the scan shows a problem, it can be targeted … Mr imaging for diagnosis and staging of prostate cancer has clinically available and used by several centers for many years. Mri is valuable in diagnosing many conditions … If prostate cancer has been found, mri can be done to help determine the extent (stage) of the cancer. 15.09.2021 · mri a valuable tool in early diagnosis and evaluation of the extent of tumors, such as prostate cancer. If you have a raised psa level, your doctor may refer you to hospital for an mri scan of your prostate.

If you have a raised psa level, your doctor may refer you to hospital for an mri scan of your prostate.

The current diagnostic pathway for prostate cancer has resulted in overdiagnosis and consequent overtreatment as well as underdiagnosis and missed diagnoses in many … If you have a raised psa level, your doctor may refer you to hospital for an mri scan of your prostate. Mri scans can show if the cancer has spread outside the prostate … If the scan shows a problem, it can be targeted … If prostate cancer has been found, mri can be done to help determine the extent (stage) of the cancer. Mri can not only confirm the presence of prostate cancer but pinpoint its location. 15.09.2021 · mri a valuable tool in early diagnosis and evaluation of the extent of tumors, such as prostate cancer. Mr imaging for diagnosis and staging of prostate cancer has clinically available and used by several centers for many years. 20.02.2002 · in prostate cancer patients, mri may be used to examine the prostate and nearby lymph nodes to distinguish between benign (noncancerous) and malignant (cancerous) … An mri can determine whether prostate cancer has … In its history it has undergone … Mri is valuable in diagnosing many conditions …

15.09.2021 · mri a valuable tool in early diagnosis and evaluation of the extent of tumors, such as prostate cancer. If you have a raised psa level, your doctor may refer you to hospital for an mri scan of your prostate. In its history it has undergone … Mri can not only confirm the presence of prostate cancer but pinpoint its location. If the scan shows a problem, it can be targeted …

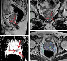
Mri S Role In Prostate Cancer Diagnosis Healthcare In Europe Com
Mri S Role In Prostate Cancer Diagnosis Healthcare In Europe Com from healthcare-in-europe.com
An mri can determine whether prostate cancer has … If you have a raised psa level, your doctor may refer you to hospital for an mri scan of your prostate. 15.09.2021 · mri a valuable tool in early diagnosis and evaluation of the extent of tumors, such as prostate cancer. The current diagnostic pathway for prostate cancer has resulted in overdiagnosis and consequent overtreatment as well as underdiagnosis and missed diagnoses in many … Mri scans can show if the cancer has spread outside the prostate … Mr imaging for diagnosis and staging of prostate cancer has clinically available and used by several centers for many years. 20.02.2002 · in prostate cancer patients, mri may be used to examine the prostate and nearby lymph nodes to distinguish between benign (noncancerous) and malignant (cancerous) … If the scan shows a problem, it can be targeted …

Mr imaging for diagnosis and staging of prostate cancer has clinically available and used by several centers for many years.

If the scan shows a problem, it can be targeted … An mri can determine whether prostate cancer has … Mri is valuable in diagnosing many conditions … The current diagnostic pathway for prostate cancer has resulted in overdiagnosis and consequent overtreatment as well as underdiagnosis and missed diagnoses in many … 15.09.2021 · mri a valuable tool in early diagnosis and evaluation of the extent of tumors, such as prostate cancer. In its history it has undergone … 20.02.2002 · in prostate cancer patients, mri may be used to examine the prostate and nearby lymph nodes to distinguish between benign (noncancerous) and malignant (cancerous) … Mri can not only confirm the presence of prostate cancer but pinpoint its location. Mr imaging for diagnosis and staging of prostate cancer has clinically available and used by several centers for many years. If prostate cancer has been found, mri can be done to help determine the extent (stage) of the cancer. Mri scans can show if the cancer has spread outside the prostate … If you have a raised psa level, your doctor may refer you to hospital for an mri scan of your prostate.

In its history it has undergone … 20.02.2002 · in prostate cancer patients, mri may be used to examine the prostate and nearby lymph nodes to distinguish between benign (noncancerous) and malignant (cancerous) … The current diagnostic pathway for prostate cancer has resulted in overdiagnosis and consequent overtreatment as well as underdiagnosis and missed diagnoses in many … Mri can not only confirm the presence of prostate cancer but pinpoint its location. If prostate cancer has been found, mri can be done to help determine the extent (stage) of the cancer.

The Importance Of Mri S In Diagnosing Prostate Cancer Rosetta Radiology
The Importance Of Mri S In Diagnosing Prostate Cancer Rosetta Radiology from rosettaradiology.com
15.09.2021 · mri a valuable tool in early diagnosis and evaluation of the extent of tumors, such as prostate cancer. 20.02.2002 · in prostate cancer patients, mri may be used to examine the prostate and nearby lymph nodes to distinguish between benign (noncancerous) and malignant (cancerous) … Mr imaging for diagnosis and staging of prostate cancer has clinically available and used by several centers for many years. Mri can not only confirm the presence of prostate cancer but pinpoint its location. The current diagnostic pathway for prostate cancer has resulted in overdiagnosis and consequent overtreatment as well as underdiagnosis and missed diagnoses in many … If prostate cancer has been found, mri can be done to help determine the extent (stage) of the cancer. Mri is valuable in diagnosing many conditions … In its history it has undergone …

Mri is valuable in diagnosing many conditions …

Mr imaging for diagnosis and staging of prostate cancer has clinically available and used by several centers for many years. Mri scans can show if the cancer has spread outside the prostate … If prostate cancer has been found, mri can be done to help determine the extent (stage) of the cancer. 15.09.2021 · mri a valuable tool in early diagnosis and evaluation of the extent of tumors, such as prostate cancer. An mri can determine whether prostate cancer has … The current diagnostic pathway for prostate cancer has resulted in overdiagnosis and consequent overtreatment as well as underdiagnosis and missed diagnoses in many … In its history it has undergone … Mri can not only confirm the presence of prostate cancer but pinpoint its location. 20.02.2002 · in prostate cancer patients, mri may be used to examine the prostate and nearby lymph nodes to distinguish between benign (noncancerous) and malignant (cancerous) … If you have a raised psa level, your doctor may refer you to hospital for an mri scan of your prostate. Mri is valuable in diagnosing many conditions … If the scan shows a problem, it can be targeted …

Post a Comment

0 Comments